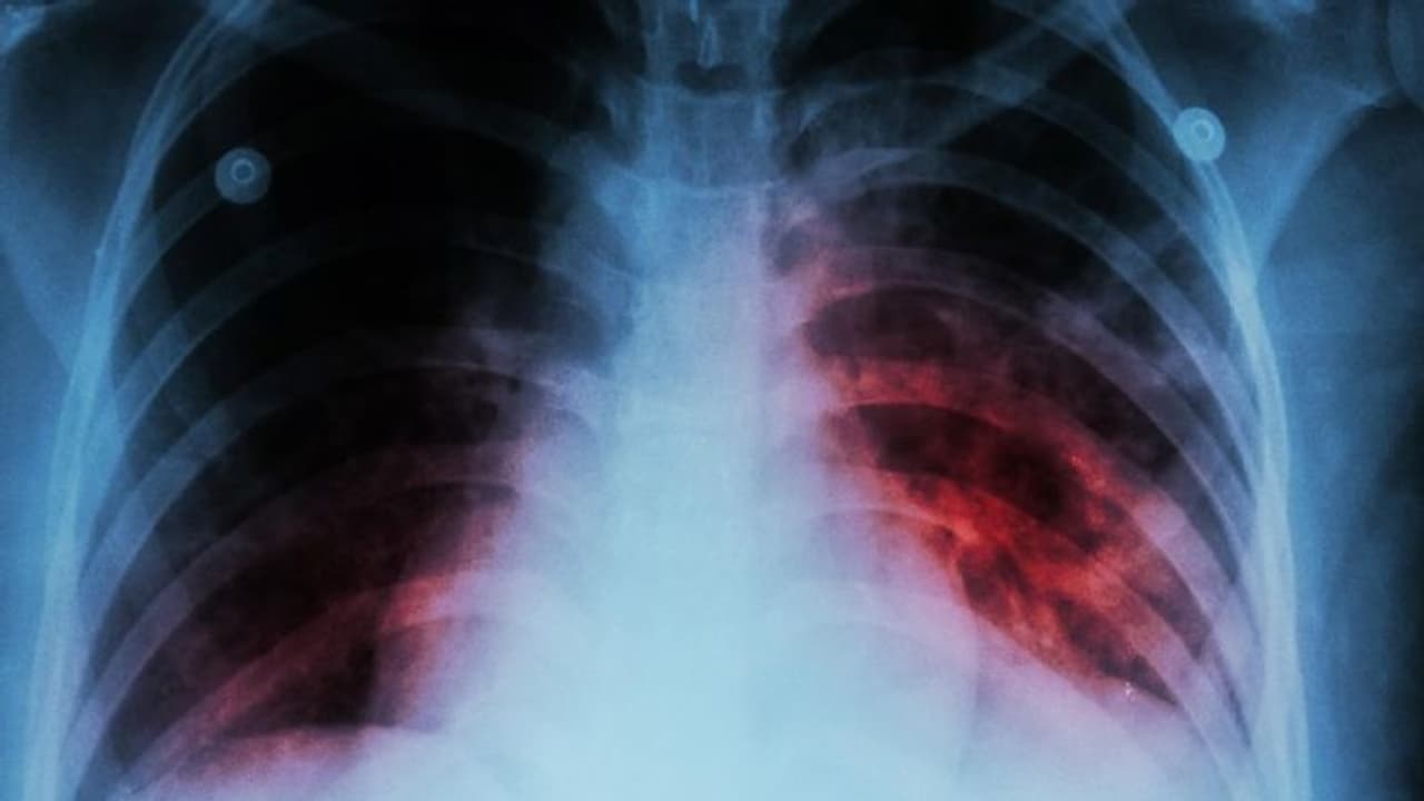
কোভিড ১৯-এর পর থেকে টিবি মোকাবিলায় উল্লেখযোগ্য অগ্রগতি করতে পেরেছে ভারত। গ্লোবাল টিউবারকিউলোসিস (টিবি) রিপোর্টে প্রকাশ করেছে বিশ্ব স্বাস্থ্য সংস্থা।
২০২৩ সালের গ্লোবাল টিউবারকিউলোসিস (টিবি) রিপোর্ট প্রকাশ করেছে বিশ্ব স্বাস্থ্য সংস্থা (WHO)। এই রিপোর্টেই দেখা গেল যে, কোভিড ১৯-এর পর থেকে টিবি মোকাবিলায় উল্লেখযোগ্য অগ্রগতি করতে পেরেছে ভারত। রিপোর্টে প্রকাশিত হয়েছে, ভারতের স্বাস্থ্য দফতর চিকিৎসা কভারেজে টিবি আক্রান্তের সংখ্যার প্রায় ৮০ শতাংশই নথিবদ্ধ করেছে, যা আগের বছরের তুলনায় উল্লেখযোগ্যভাবে ১৯ শতাংশ বৃদ্ধি পেয়েছে।
-
এই কারণে ভারতে যক্ষ্মা (Tuberculosis) রোগীর সংখ্যাও কমে গেছে। কঠোর প্রচেষ্টার কারণে যক্ষ্মা রোগ ২০১৫ সালের হারের তুলনায় ২০২২ সালে ১৬ শতাংশ কমে গেছে। এই হ্রাসের হার বিশ্বব্যাপী টিবি প্রকোপ হ্রাসের প্রায় দ্বিগুণ, যা ৮.৭ শতাংশে এসে দাঁড়িয়েছে। টিবি সম্পর্কিত মৃত্যুর হারও উল্লেখযোগ্যভাবে হ্রাস পেয়েছে, একই সময়ের মধ্যে ভারত এবং বিশ্বব্যাপী উভয় ক্ষেত্রেই ১৮ শতাংশ হ্রাস পেয়েছে যক্ষ্মায় মৃত্যুর হার।
-
ভারতে ২০২২ সালে, ২৪.২২ লক্ষেরও বেশি যক্ষ্মার কেস রিপোর্ট করা হয়েছিল, যা প্রাক-কোভিড স্তরকে ছাড়িয়ে গেছে। গুরুত্বপূর্ণ সরকারি উদ্যোগ, যেমন সক্রিয় কেস খোঁজা, ব্লক স্তরে চিকিৎসার সম্প্রসারণ, 'আয়ুষ্মান ভারত' স্বাস্থ্য ও সুস্থতা কেন্দ্রের মাধ্যমে স্ক্রিনিং পরিষেবা এবং বেসরকারি খাতের নিযুক্তিগুলি যক্ষ্মার কেস সনাক্তকরণে ব্যাপক সাহায্য করেছে।

-
প্রধানমন্ত্রী নরেন্দ্র মোদীর ‘যক্ষ্মা মুক্ত ভারত’ অভিযান সারা দেশে উল্লেখযোগ্য সমর্থন অর্জন করেছে, ১ লাখেরও বেশি নি-ক্ষয় মিত্র বিভিন্ন পটভূমি থেকে ১১ লক্ষেরও বেশি যক্ষ্মা রোগীকে গ্রহণ করেছে। ‘নি-ক্ষয় পোষণ যোজনা’ ২০১৮ সালে চালু হওয়ার পর থেকে ৯৫ লক্ষেরও বেশি টিবি রোগীদের জন্য প্রায় ২৬১৩ কোটি টাকা বিতরণ করেছে।
-
নতুন রোগী-কেন্দ্রিক উদ্যোগ, যেমন ফ্যামিলি কেয়ারগিভার মডেল এবং ডিফারেনসিয়েটেড কেয়ার — এগুলি মৃত্যুহার আরও কমাতে এবং চিকিৎসার সাফল্যের হার বাড়াতে চালু করা হয়েছে।
