যৌন কৌতূহলে মূত্রনালীতে ইউএসবি তার ঢোকালো ব্রিটিশ কিশোর। তারপরই কী ঘটল দেখুন।
টিনএজ বা কৈশোর এক জটিল সময়। শরীরে হরমোন গনগন করে। যৌনতা সঙ্গে ঘটে প্রথম পরিচয়। যৌনাঙ্গ নিয়ে অনেকেই বিভিন্ন উদ্বেগে ভোগে। আর সেই কারণেই এই সময় অনেকেই যৌনতা নিয়ে বিভিন্ন পরীক্ষা-নিরীক্ষা করে থাকে। ইন্টারনেটের জ্ঞান নিয়ে এই ধরণের পরীক্ষা নিরীক্ষা যে কতটা ভয়ানক হতে পারে, তার পরিচয় পাওয়া গেল সম্প্রতি ইংল্যান্ডে ঘটে যাওয়া একটি অদ্ভূত ঘটনায়। জানা গিয়েছে, নিজের লিঙ্গের দৈর্ঘ মাপার জন্য, মূত্রনালী দিয়ে একটি ইউএসবি তার ঢুকিয়েছিল এক কিশোর। যার জেরে প্রায় মৃত্যুই হতে যাচ্ছিল তার।
ইউরোলজি কেস রিপোর্টস মেডিকেল জার্নালে ওই কিশোরের ঘটনাটি উল্লেখ করা হয়েছে। জানা গিয়েছে ইউএসবি কেবলটি তার গোপনাঙ্গে আটকে গিয়েছিল। তারটি বের করার চেষ্টা করলে তার গোপনাঙ্গ থেকে রক্তপাত হতে শুরু করেছিল। ফলে বাবা-মাকে বিষয়টি জানাতে বাধ্য হয়েছিল সে। তারা তাকে স্থানীয় এক হাসপাতালে নিয়ে গিয়েছিলেন। সেখান থেকে তাকে লন্ডনের ইউনিভার্সিটি কলেজ হাসপাতালে স্থানান্তরিত করা হয়। সেখানে সে তার বাবা-মা'র অনুপস্থিতিতে আরও পরীক্ষার জন্য ডাক্তারদের অনুরোধ করেছিল। বাবা-মা আড়ালে যেতেই সে ডাক্তারদের জানিয়েছিল ওই তার ঢোকানোর কথা। সে বলেছিল, যৌন কৌতূহল থেকে সে তার লিঙ্গের দৈর্ঘ্য পরিমাপ করার জন্যই ওই তারটি মূত্রনালীতে ঢুকয়েছিল।

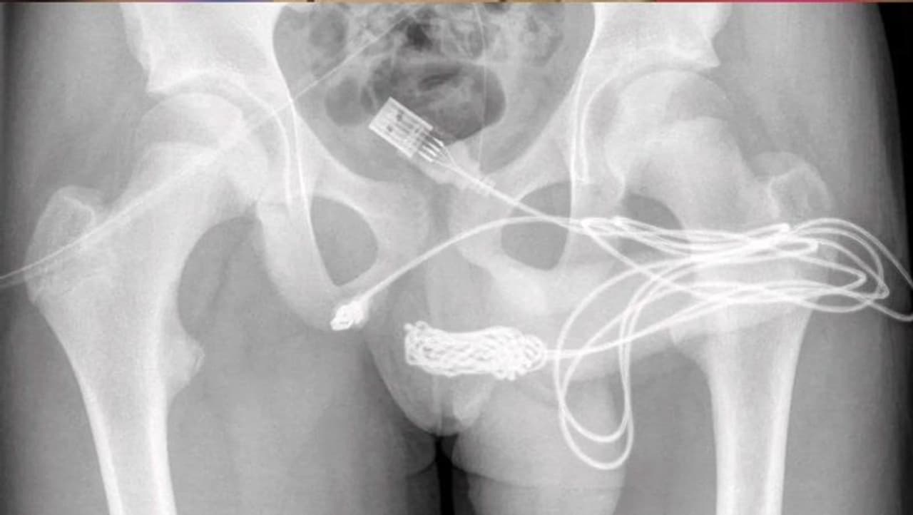
কীভাবে তারটি আটকে ছিল দেখুন
"
ইউরোলজি কেস রিপোর্টস মেডিকেল জার্নালের প্রতিবেদন অনুযায়ী, এরপর এক্সরে করে ওই কেবলের অবস্থান দেখেছিলেন ডাক্তাররা। সেটি ওই কিশোরের মূত্রনালীতে এমনভাবে আটকে গিয়েছিল, যে শল্যচিকিৎসকদের তার যৌনাঙ্গ এবং পায়ুর মধ্যবর্তী স্থানে আরেকটি ফুটো করে তারটি কেটে বার করতে হয়। পরে সেই জায়গাটি সেলাই করে বন্ধ করে দেওয়া হয়েছিল। মূত্রনালীতে একটি ক্যাথেটার ঢোকানো হয়েছিল। পরের দিনই তাকে সাধারণ ব্যথানাশক, অ্যান্টিবায়োটিক এবং ইউরেথ্রাল এবং সুপ্রাপিউবিক ক্যাথেটার দিয়ে ছেড়ে দেওয়া হয়েছিল। দুই সপ্তাহ পর চেক-আপ করে মূত্রনালীতে কোনও অস্বাভাবিকতা পাওয়া যায়নি। পরে ক্যাথেটারটিও সরিয়ে দেওয়া হয়। দীর্ঘমেয়াদী কোনও ক্ষতি হয়েছে কিনা তা পরীক্ষা করা হচ্ছে ফলো-আপ চিকিৎসায়।
আরও পড়ুন - IPL 2021 - আইপিএল-এ প্রথম, এই ৫ অপরিচিত বিদেশী ক্রিকেটার কিন্তু মহাতারকা হয়ে উঠতে পারেন
আরও পড়ুন - IPL 2021 - সাক্ষীই ভারতীয় ক্রিকেটের 'সেলফি কুইন', দেখুন ধোনীর স্ত্রীর ১০ উষ্ণতম নিজস্বী
ডাক্তাররা জানিয়েছেন, 'সাউন্ডিং' নামে একটি বিপজ্জনক যৌন অনুশীলন রয়েছে। যেখানে কোনও ব্যক্তি তার মূত্রনালীতে ধাতব রড বা অন্য কোনও জিনিস প্রবেশ করায়। এই প্রবণতা অত্যন্ত বিপজ্জনক বলে দাবি করেছেন চিকিৎসকরা। এই ধরণের অনুশীলন এত বেড়েছে, যে চিকিৎসকরা উদ্বিগ্ন।



