খোদ কলকাতায় হানা দিল মিউকরমাইকোসিস কলকাতায় এক রোগীর শরীরে এই ছত্রাকের সন্ধান মিলেছে করোনাজয়ী রোগীর শরীরে কালো ছত্রাকের সন্ধান আর এন টেগোর হাসপাতালে ভর্তি
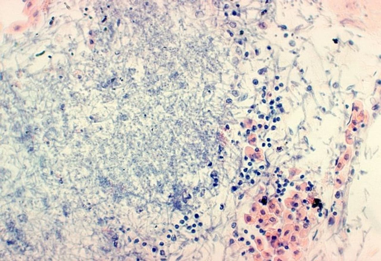
মিউকরমাইকোসিস রোগে আক্রান্ত ব্যক্তির হদিশ মিলল কলকাতায়। শহরে আরও এক আক্রান্তের হদিশ মেলায় চিন্তায় চিকিৎসকরা। কলকাতায় ক্রমশ ছড়াচ্ছে ব্ল্যাক ফাঙ্গাস বা কালো ছত্রাকে আক্রান্ত হওয়ার ঘটনা। যা বেশ উদ্বেগের। এবার যে ব্যক্তি কালো ছত্রাকে আক্রান্ত হয়েছেন, তিনি করোনা থেকে কিছুদিন আগেই সুস্থ হয়েছেন।
করোনা থেকে সেরে উঠে বাড়ি চলে যাওয়ার পরে ফের অসুস্থ হয়ে পড়েন ওই ব্যক্তি বলে খবর। তাঁকে আর এন টেগোর হাসপাতালে ভর্তি করা হয়। তার কিছুদিনের মধ্যেই বিভিন্ন পরীক্ষার মাধ্যমে কালো ছত্রাকের সন্ধান মেলে তাঁর শরীরে।

মিউকরমাইকোসিস বা কালো ছত্রাক, আতঙ্ক ছড়াচ্ছে বেশ কয়েক দিন ধরেই। দেশের বেশ কয়েকটি জায়গায় রোগীর শরীরে মিলেছে কালো ছত্রাক বা মিউকরমাইকোসিসের সন্ধান। এবার খোদ কলকাতায় হানা দিল মিউকরমাইকোসিস। কলকাতায় এক রোগীর শরীরে এই ছত্রাকের সন্ধান মিলেছে।
কিছুদিন আগেই সাদার্ণ এভিনিউয়ের এক নার্সিংহোমে ভর্তি থাকা এক রোগীর শরীরে কালো ছত্রাকের দেখা মেলে। ব্ল্যাক ফাঙ্গাস বা কালো ছত্রাক (মিউকরমাইকোসিস) ছড়িয়ে পড়তে পারে আরও রোগীর দেহে। বাড়তে পারে সংক্রমণ। করোনার পরিস্থিতি দেশে ভয়াবহ। রাজ্যও তার ব্যতিক্রম নয়। এরই মধ্যে নয়া মাথাব্যাথা এই কালো ছত্রাক। এমনই আশঙ্কা চিকিৎসকদের।
এর আগে সিএমআরআই হাসপাতালে ভর্তি এক রোগীর শরীরে কালো ছত্রাকের উপস্থিতি পান চিকিৎসকরা। সেই মহিলার মৃত্যু হয়। তিনি কলকাতার পার্শ্ববর্তী জেলার বাসিন্দা ছিলেন। এবার খোদ কলকাতাতেই ধরা পড়ল কালো ছত্রাকের উপস্থিতির প্রমাণ।

করোনামহামারির মধ্যেই এবার ধীরে ধীরে ভয়ঙ্কর আকার নিচ্ছে ব্ল্যাক ফাঙ্গাস রোগ। তাই করোনাভাইরাসের ওষুধের যেমন চাহিদা বেড়েছে তেমনই বেড়েছে কালো ছত্রাক রোগের ওষুধের চাহিদা। ইন্ডিয়ান কাউন্সিল অব মেডিক্যাল রিসার্চের জারি করা একটি বিবৃতিতে বলা হয়েছে, যেসব কোভিড রোগীরা ডায়াবেটিসে ভুগছেন তাঁদারে মধ্যে ব্ল্যাক ফাঙ্গাস রোগের প্রকোপ দেখা দিতে পারে। এছাড়াও করোনা আক্রান্ত হয়ে দীর্ঘ দিন আইসিইউতে থাকা, স্টেরয়েড ব্যবহার, কোমর্বিডিটি-পোস্ট ট্রান্সপ্যান্টে আক্রান্তদের সাবধানে থাকতে পরামর্শ দিয়েছে।করোনা আক্রান্তদের শরীর দুর্বল হয়ে যাওয়ায় এজাতীয় রোগের প্রকোপ বাড়ছে বলেও বলা হয়েছে।
ব্ল্যাক ফাঙ্গাসের কারণে মাইক্রোমাইকোসিস সংক্রমণকারী আরও আরএ বেশি লোকের মধ্যে লিপোসোমাল অ্যামফোটেরিকিন বি ইনজেকশনের চাহিদা বেড়েছে। মূলত অ্যান্টি ফাঙ্গাল জাতীয় ওষুধগুলি এই রোগের ক্ষেত্রে কার্যকর। ভয়ঙ্কর এই রোগে মৃত্যুর খবরও সামনে আসছে।
