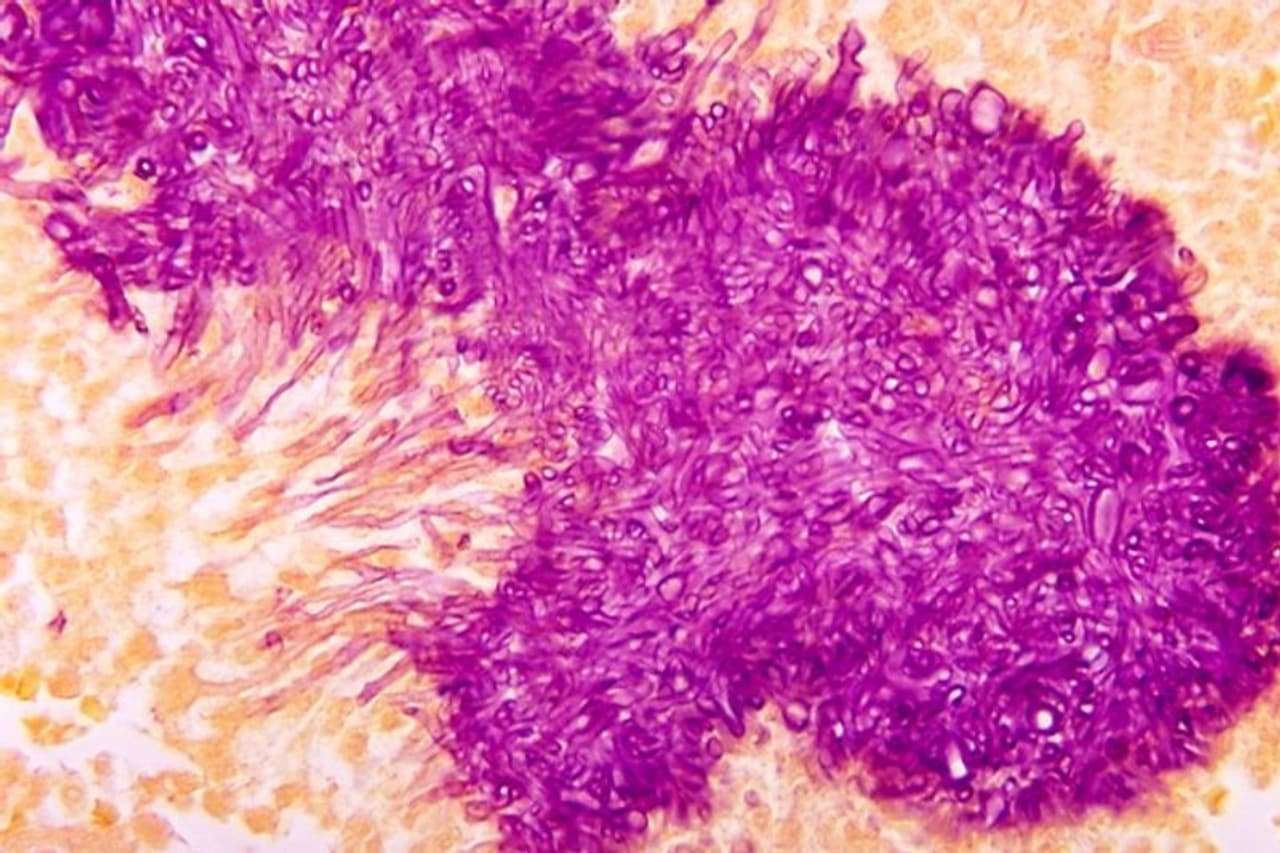
করোনার দ্বিতীয় তরঙ্গে বেহাল ভারতের স্বাস্থ্য পরিষেবাকোভিডের ধাক্কায় মাথা চাড়া দিচ্ছে আরো এক ভয়ঙ্কর সংক্রমণরোগটির নাম 'মিউকর্মাইসোসিস' বা 'ব্ল্যাক ফাঙ্গাল ইনফেকশনহারাতে পারে দৃষ্টিশক্তি, খোয়া যেতে পারে নাক বা চোয়ালের হাড়ও
ধ্বংসাত্মক করোনাভাইরাস সংক্রমণের দ্বিতীয় তরঙ্গের বিরুদ্ধে লড়তে গিয়ে বেহাল দশা ভারতের স্বাস্থ্য পরিষেবা ব্যবস্থার। দৈনিক ৪ লক্ষেরও বেশি নতুন সংক্রমণের ঘটনা ধরা পড়ছে, মৃত্যু হচ্ছে ৪ হাজারেরও বেশি। আর এই অবস্থায় স্বাস্থ্য পরিষেবার সঙ্গে যুক্ত ব্যক্তিবর্গের কপালের ভাঁজ আরও বাড়িয়ে তুলেছে এক ভয়ঙ্কর ছত্রাক সংক্রমণ, যার পোশাকি নাম 'মিউকর্মাইসোসিস'। বেশি পরিচিত 'ব্ল্যাক ফাঙ্গাল ইনফেকশন' (Black Fungal Infection) অর্থাৎ 'কালো ছত্রাক সংক্রমণ' হিসাবে।
বৃহস্পতিবারই দিল্লির অন্যতম শীর্ষস্থানীয় হাসপাতাল, গঙ্গারাম হাসপাতালের চিকিৎসকরা, সংবাদ সংস্থা পিটিআই-কে জানিয়েছিলেন করোনার দ্বিতীয় তরঙ্গের ধাক্কায় এই বিপজ্জনক ছত্রাকঘটিত সংক্রমণের দাপট বৃদ্ধি পাচ্ছে। এরপর এদিন গুজরাতের আহমেদাবাদের বিজে মেডিকেল কলেজ অ্যান্ড সিভিল হাসপাতাল থেকেও এই রোগের প্রকোপ বৃদ্ধির খবর এসেছে। জানা গিয়েছে, গত ২০ দিনে ওই হাসপাতেলর 'ইএনটি' (ENT) ওয়ার্ডে ৬৭ জন রোগীর দেহে এই ছত্রাক-জনিত সংক্রমণ ধরা পড়েছে। প্রত্যেকদিনই পাঁচ থেকে সাতজন রোগীর অস্ত্রোপচার করতে হচ্ছে।

তবে কোভিডের হাত ধরে এই রোগের দাপট বৃদ্ধির ঘটনা, গত বছর করোনার প্রথম তরঙ্গের সময়ও দেখা গিয়েছিল। চিকিৎসকরা জানিয়েছেন, এই সংক্রমণ কিনতু মারাত্মক ক্ষতি করতে পারে। সংক্রমিত রোগীদের অনেকে দৃষ্টিশক্তি হারান, অনেকের ক্ষেত্রে নাক এবং চোয়ালের হাড় বাদ দিতে হয়। গুরুতর সংক্রমণের ক্ষেত্রে মৃত্যুও ঘটে। বিশেষ করে যাদের দেহে কোনও অঙ্গ প্রতিস্থাপন হয়েছে, আইসিইউতে আছেন যারা দীর্ঘদিন বা যাদের দীর্ঘমেয়াদী অনাক্রম্যতাজনিত সমস্যা রয়েছে, তাদের ক্ষেত্রে ঝুঁকি বেশি। দিল্লির গঙ্গারাম হাসপাতালের ডাক্তাররা জানিয়েছেন, কোভিডের প্রথম তরঙ্গের সময়ও অনেকে কোভিড জয়ীর দেহে ব্ল্যাক ফাঙ্গাল ইনফেকশন ধরা পড়েছিল। কোভিডকে হারিয়েও অনেকের মৃত্যু হয়েছিল এই রোগেই।
আরও পড়ুন - লাগবে না কোভিড পজিটিভ রিপোর্ট - হাসপাতালে ভর্তিতে ৪ নতুন নির্দেশ, কী বলল কেন্দ্র
আরও পড়ন - জলে গুলে খেলেই সংক্রমণ-মুক্ত - করোনা-যুদ্ধের অস্ত্র দিল DRDO, অনুমোদন DGCI-এর
আরও পড়ুন - মুকুল রায়কে নিয়ে জল্পনার অবসান - এরপর কোন পথে, নিজেই জানালেন সেই কথা
কিন্তু, কোভিড-১৯ থেকে সুস্থ হয়ে ওঠা রোগীদেরই কেন কালো ছত্রাক সংক্রমণ হচ্ছে? এই বিষয়ে শনিবার এইমস হাসপাতালের ডিরেক্টর ডা. রণদীপ গুলেরিয়া জানিয়েছেন, করোনাভাইরাস রোগীদের চিকিৎসার জন্য অনেক ক্ষেত্রেই 'অযৌক্তিকভাবে' উচ্চ মাত্রায় স্টেরয়েডের ব্যবহার করা হচ্ছে। কোভিড হলে এমনিতেই প্রতিরোধ ক্ষমতা কমে যায়, এরপর ওই রোগীদের উচ্চমাত্রায় স্টেরয়েড দিলে অনাক্রম্যতা আরও কমে যেতে পারে। ফলে যে কোনও সুযোগসন্ধানী ব্যাকটিরিয়া এবং ছত্রাক সংক্রমণের ঝুঁকি তৈরি হয়। এর ওপর ডায়াবেটিস জাতীয় রোগ থাকলে দেহের রোগ প্রতিরোধ ক্ষমতা আরও কম হয়। এইসব কারণেই করোনার হাত ধরে বাড়ছে 'মিউকর্মাইসোসিস' বা 'ব্ল্যাক ফাঙ্গাল ইনফেকশন'ও।

