
হাঁচি ধরে রাখার চেষ্টা করতে গিয়ে বিপত্তি। হাঁচি চেপে রাখতে গিয়ে এক ব্যক্তি তার উইন্ডপাইপ ছিঁড়ে ফেললেন। চিকিৎসকরা বলছেন এই ধরনের ঘটনা এই প্রথমবার সামনে এল। ঘটনাটি ঘটে যখন লোকটি তার গাড়ি চালানোর সময় হঠাৎ হালকা জ্বর ও সর্দি অনুভব করে। সেই সময় হাঁচি পায় তাঁর। তবে নাকের নিচে আঙুল রেখে বা অনিয়ন্ত্রিতভাবে হাঁচি না দিয়ে তিনি নাক চেপে মুখ বন্ধ করে নেন। লাইভ সায়েন্সের একটি প্রতিবেদনে বলা হয়েছে, এই অদ্ভুত হাঁচি নিয়ন্ত্রণের কৌশলটি ঠিক বিপরীত প্রভাব ফেলেছিল তাঁর শরীরে। চাপা হাঁচির প্রেশারে তার বাতাসের পাইপে একটি ছোট, দুই-বাই দুই-মিলিমিটার গর্ত তৈরি হয়ে যায়। লোকটির শ্বাসনালী বন্ধ হওয়ার ফলে চাপ তৈরি হয়, যা স্বাভাবিকের চেয়ে ২০ গুণ বেশি জোরে চাপ দেয় উইন্ডপাইপে। সেই প্রচন্ড চাপে ফেটে যায় উইন্ডপাইপ।
এই ক্ষেত্রে, চাপ এত বেশি ছিল যে লোকটির উইন্ডপাইপ ছিঁড়ে যায়, যা ০.০৮/ ০.০৮ ইঞ্চির গর্ত তৈরি করেছিল। চিকিৎসকরা রীতিমত অবাক হয়েছেন এই ঘটনায়। লোকটি প্রচণ্ড ব্যথায় এবং তার ঘাড়ের দুই পাশে ফুলে যাওয়ায় চিকিৎসার জন্য যান। চিকিত্সকরা তাকে পরীক্ষা করেন এবং একটি অস্পষ্ট কর্কশ শব্দ শুনতে পান। তবে লোকটির শ্বাস নিতে, কথা বলতে বা গিলতে কোনো সমস্যা হয়নি।
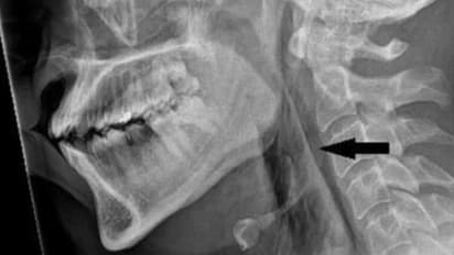
এই ঘটনার পর ওই ব্যক্তির গলার এক্স-রে করা হয়। সেখানেই আসল ঘটনা সামনে আসে। জানা যায় যে লোকটির অস্ত্রোপচারের এমফিসেমা ছিল, একটি রোগ যেখানে বাতাস ত্বকের গভীরতম টিস্যু স্তরের পিছনে আটকে যায়। পরবর্তীকালে, একটি সিটি স্ক্যানে দেখা যায় যে তার ঘাড়ের তৃতীয় এবং চতুর্থ কশেরুকার মধ্যে ছিদ্রটি অবস্থিত ছিল। তার ওপর তার ফুসফুস এবং তার বুকের মাঝখানে বাতাস জড়ো হয়েছিল। চিকিত্সকরা জানিয়েছেন যে "এই শারীরিক পরিস্থিতিতে নাক এবং মুখ বন্ধ করে হাঁচি আটকানোর ফলে শ্বাসনালীতে দ্রুত চাপ তৈরি হওয়ার কারণে" এই বড় শারীরিক ক্ষতি হয়েছিল।
আরও খবরের জন্য এশিয়ানেট নিউজ বাংলা হোয়াটসঅ্যাপ চ্যানেলে চোখ রাখুন, এখানে ক্লিক করুন।